Next-generation film-forming hydrogel dressing incorporating benzalkonium chloride and dextrin/guar gum-PVA for accelerated wound healing
Kyungho Baek PhD1,2, Ga-young Sim2, Chul hyun Park2, Minseok Kang2, Nahyun Kim2, Youn Seop Kim2, Dongho Lee2, Han-Gon Choi PhD1, Sung Giu Jin PhD2.
1Physical and Industrial Pharmacy, Hanyang University, Ansan-si, Korea; 2Pharmaceutical Engineering, Dankook University, Cheonan, Korea
Introduction
Chronic and infected wounds often heal slowly due to persistent inflammation, microbial presence, and disrupted tissue repair. While conventional dressings can protect the wound surface, they frequently fall short in maintaining moisture balance or delivering active agents effectively. To address these limitations, we developed a film-forming hydrogel (FFH) dressing composed of polyvinyl alcohol (PVA) combined with either dextrin or guar gum, incorporating benzalkonium chloride (BAC) as an antimicrobial agent. Our aim was to create a dressing with enhanced mechanical properties and improved healing outcomes.
Methods
Hydrogel films were prepared using 10% w/w PVA dissolved in 8% ethanol, with the addition of 1–4% w/w of either dextrin or guar gum. BAC was included at a concentration of 5% w/w. The formulations were cast into films and assessed for their film formation time, tensile strength, elasticity, and swelling behavior. In vitro permeation studies were performed using excised rat skin and Franz diffusion cells to evaluate BAC delivery. For in vivo analysis, full-thickness wounds were created on the dorsal skin of rats, followed by daily application of the test films. Wound closure was monitored over 12 days, and tissue samples were analyzed histologically on the final day.
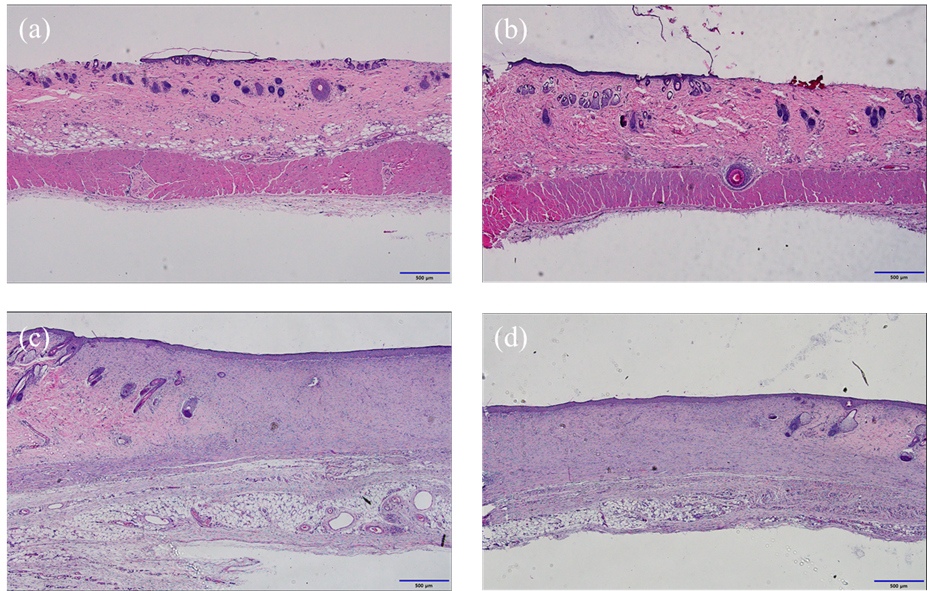
Results
Dextrin-based hydrogels produced stronger, more durable films with higher swelling ratios, while guar gum-based films dried more rapidly and offered greater initial flexibility. The addition of PEG1500 improved the stretchability of the films, and oleic acid facilitated BAC penetration through the skin in a dose-responsive manner. In animal studies, both types of FFH dressings significantly enhanced wound closure compared to the untreated and commercial dressing groups. Notably, the dextrin-containing formulation achieved over 95% closure by day 12, suggesting a beneficial effect on tissue regeneration.
Conclusion
The FFH systems developed in this study show promise as effective wound dressings, capable of delivering BAC in a sustained manner while supporting the healing process. The combination of PVA with dextrin or guar gum enabled tuning of mechanical and application-related properties. Among the tested formulations, the dextrin-based film offered the most favorable balance between durability and therapeutic effect. These results support further development of this platform for wound care and suggest potential applications in other areas of topical drug delivery.


This work was supported by a National Research Foundation of Korea (NRF) grant under the Korean government (MEST) (No. RS-2023-00208448). .
[1] Film-forming hydrogel
[2] Benzalkonium chloride
[3] PVA
[4] Wound healing